Dental bridges, the name itself implies that it bridges the gap between one or more missing teeth. Various types of dental bridges are available, and all of those are fixed and can be removed only by a dentist. Once traditional bridges have depended on the support of natural teeth, nowadays, with advances in technology and science, DentaZone offers implant-supported bridges with the benefit of connecting larger gaps.
A dental bridge is a specially made precision item that is bonded over your implant or tooth to cover it totally and replace an adjacent gap. Dental bridges have been traditionally called ceramic combined with metal. These types of natured dental bridges are most commonly used. Advancement in technology has introduced Zirconium based materials, which have eliminated the need for metal substructure. All ceramic bridges are now offering high-quality aesthetic results. Resin-bonded bridges are the most conservative, cost-effective, and quickest solution in restoring the gap in your smile.
DentaZone addresses both functional and aesthetic needs. A gap in front of your mouth will give a bad cosmetic appearance and also affect eating and speech. Besides, missing teeth reduces the diet limit. These reduce the enjoyment and pleasure associated with social occasions and food. There is the possibility for weak, unsightly loose dentures to be replaced by a fixed bridge. Bridging the gap would give you a transformation in life and the courage to smile at all times.
To prevent your bridge from damage, you should avoid chewing hard foods, ice, or other hard items like pencils or nails. Following good oral hygiene also gives long-lasting life to your bridge.
How Can We Help
If you need any helps, please feel free to contact us.
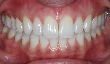
Smile Gallery
Witness some of our best smile transformations here
Testimonials
Find out what our patients think of our services
Ms. Bhavna Virendra
I visit this super speciality clinic to address the dental needs of my entire family. I highly recommend the place because of its state of the art infrastructure and committed management and staff. The place is good not only in terms of aesthetics but also specialized care. Excellent care is taken and patients are well looked after. Post treatment follow up is great too. In short ,the doctors are the one of the best in their field and extremely skilled, well trained and warm. A place worth a visit for the best treatment in town.
Mr. Siddharth Seth
Got root canal treatment from Dr. Devang. Really happy with the treatment. Would highly recommend.
Mr. Ajay Rohera
Excellent services. Got the filling done for myself and wisdom tooth removal for my cousin. Both the services were extremely satisfied.
Ms. Lata Dourbi
Got scaling done. Very nicely done. Total satisfaction.
Ms. Anoop Rohera
Highly advanced Dental facility from cavities to advanced surgeries. Tabacco stains cleaning is best.